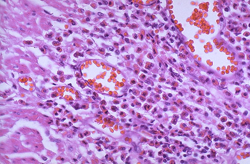
At high magnification, the numerous eosinophils are prominent from their bright red cytoplasmic granules in this case of bronchial asthma. There are two major clinical forms of asthma that can overlap.

  • Extrinsic asthma: there is typically an association with atopy (allergies) that is mediated by type 1 hypersensitivity, and asthmatic attacks are precipitated by contact with inhaled allergens. This form occurs most often in childhood.

  • Intrinsic asthma: asthmatic attacks are precipitated by respiratory infections, exposure to cold, exercise, stress, inhaled irritants, and drugs such as aspirin. Adults are most often affected.