
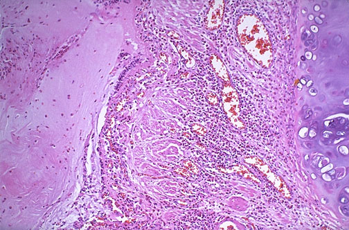
| Between the bronchial cartilage at the right and the bronchial lumen filled with mucus at the left is a submucosa widened by smooth muscle hypertrophy, edema, and inflammation (mainly eosinophils). These are changes of bronchial asthma, more specifically extrinsic asthma from type I hypersensitivity to allergens. The peripheral eosinophil count or the sputum eosinophils can be increased during an asthmatic attack. |
![]() |