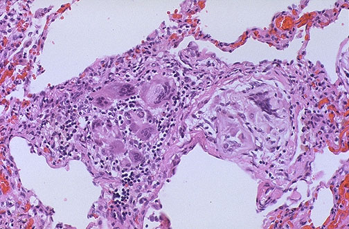
There is a localized foreign body giant cell response to the aspirated material seen here at high magnification. Aspirated material may also produce inflammation from chemical irritation, as with gastric contents.