
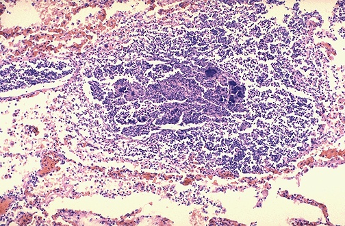
| This more focal abscess containing a neutrophilic exudate as well as dark blue bacterial colonies suggests aspiration or hematogenous spread of infection to the lung. Aspirated material from the oral-pharyngeal region contains bacterial flora. Hematogenous spread of infection to lungs could occur from septicemia or from infective endocarditis involving the cardiac valves on the right side of the heart. |
![]() |