 |
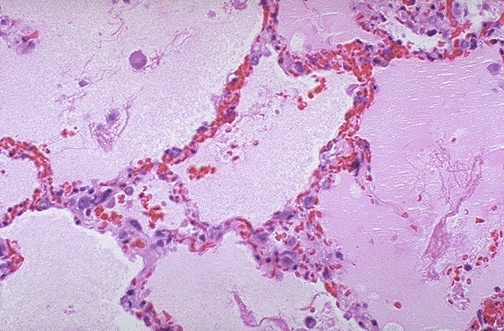
At high magnification, the alveoli in this lung are filled with a smooth to slightly floccular pink material characteristic for pulmonary edema. Note also that the capillaries in the alveolar walls are congested with many red blood cells. Congestion and edema of the lungs is common in patients with heart failure and in areas of inflammation of the lung. |