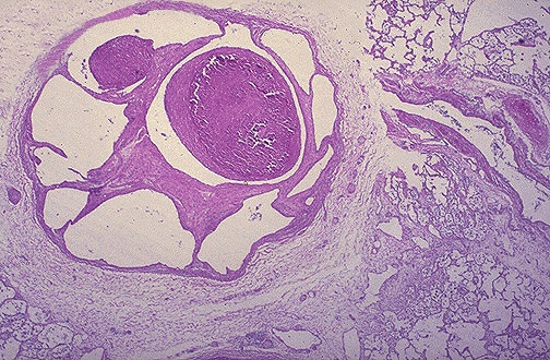
The fibrous bands of connective tissue across this branch of pulmonary artery indicate organization of a remote pulmonary thromboembolus. If many pulmonary arteries are involved by this process, pulmonary hypertension could result.