
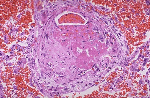
| Here is a small peripheral pulmonary artery thromboembolus. Such a small pulmonary embolus (PE) such as this one would probably not be noticed or cause problems unless there were many of them showered into the pulmonary circulation at once or over a period of time. This could lead to pulmonary hypertension. |
![]() |