
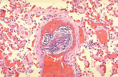
| This is a rare finding that may complicate a term pregnancy at delivery. Seen here in a pulmonary artery branch is an amniotic fluid embolus that has layers of fetal squames. Amniotic fluid embolization can have the same outcome as a large saddle pulmonary embolus. |
![]() |