
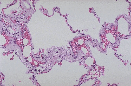
| The rounded holes that appear in the vascular spaces here in the lung are fat emboli. Fat embolization syndrome occurs most often following trauma with fracture of long bones that releases fat globules into the circulation which are trapped in pulmonary capillaries. Cumulatively, they have the same effect as a large saddle pulmonary embolus. |
![]() |