
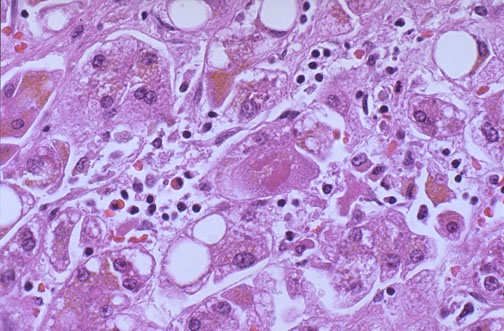
| This is a case of viral hepatitis C, which in half of cases leads to chronic liver disease. The extent of chronic hepatitis can be graded by the degree of activity (necrosis and inflammation) and staged by the degree of fibrosis. In this case, necrosis and inflammation are prominent, and there is some steatosis as well. Regardless of the grade or stage, the etiology of the hepatitis must be sought, for the treatment may depend upon knowing the cause, and chronic liver diseases of different etiologies may appear microscopically and grossly similar. |
![]() |