
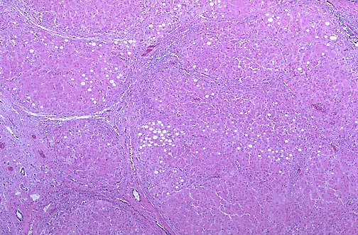
This is a case of viral hepatitis C which is at a high stage with extensive fibrosis and progression to macronodular cirrhosis, as evidenced by the large regenerative nodule at the center right. The screening laboratory test for this form of viral hepatitis is the hepatitis C antibody test. Hepatitis C accounts for most (but not all) cases formerly called "non-A, non-B hepatitis". In addition to this serologic test PCR and genotyping can be performed. Nucleic acid sequencing identifies of six common HCV types (1a,b-5) which have different clinical courses and responsiveness to alpha interferon therapy. Infection with HCV type 1b or 4 leads to more severe liver disease, faster progression to chronic hepatitis, and less responsiveness to interferon therapy. Type 1a, 2, 3, and 5 infections have a more favorable prognosis. Type 2 and 3 infections may be treated with shorter therapeutic regimens. |
![]() |