
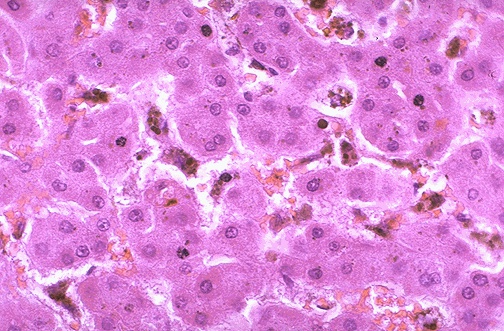
| The Kupffer cells in sinusoids next to plates of hepatocytes are seen prominently here because of the brown granules of hemosiderin that they contain. Kupffer cells are a part of the body's mononuclear phagocyte system of cells with a macrophage-like function which are fixed in organs such as liver, spleen, lymph nodes, and bone marrow. |
![]() |