
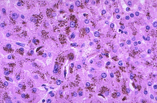
| The hepatocytes and Kupffer cells here are full of granular brown deposits of hemosiderin from accumulation of excess iron in the liver. The term "hemosiderosis" is used to denote a relatively benign accumulation of iron. The term "hemochromatosis" is used when organ dysfunction occurs. The iron accumulation may lead to a micronodular cirrhosis (so called "pigment" cirrhosis). |
![]() |