
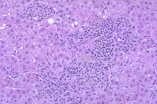
| This is a case of primary biliary cirrhosis, a rare autoimmune disease (mostly of middle-aged women) that is characterized by destruction of bile ductules within the triads of the liver. Seen here at medium power are intense mononuclear inflammatory infiltrates in portal tracts with loss of bile ductules. The inflammatory infiltrate can have granulomatous features as well. |
![]() |