
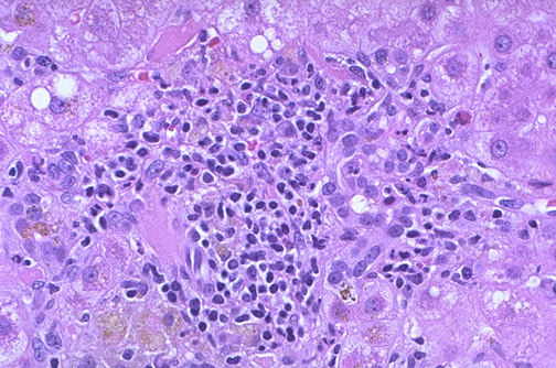
| At high magnification, a bile duct is being demolished by lymphocytes in this case of primary biliary cirrhosis (PBC). A characteristic laboratory finding with PBC is antimitochondrial antibody (AMA) in serum. Other findings in serum include: increased alkaline phosphatase, hypercholesterolemia, and hypergammaglobulinemia. Micronodular cirrhosis ensues. Jaundice is a late finding that suggests incipient liver failure. Patients sometimes have other autoimmune phenomena. |
![]() |