Image 4.3
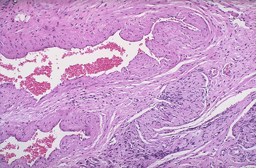
At medium power, the wall of one of the cystic masses shows vascular and neural tissues that are well-differentiated.