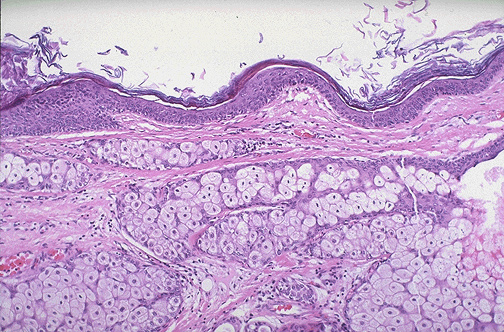
Image 4.3
At medium power, the wall of one of the cystic masses shows skin and sebaceous glands.