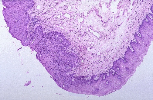
Image 6.1
The vulvar lesion is seen here at the left at low power microscopically.