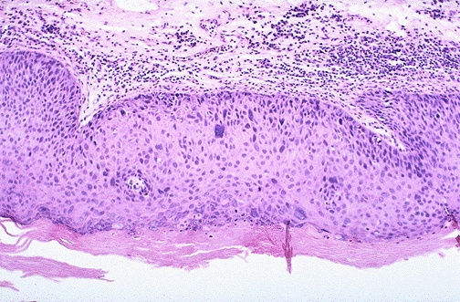
Image 6.2
The vulvar lesion is seen here at high power microscopically.