|
Image 3.1
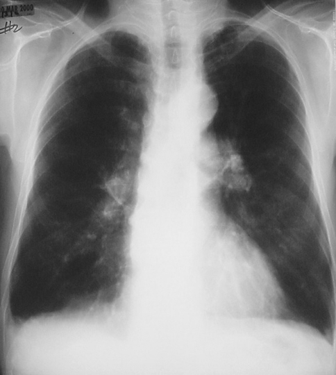
The chest radiograph in posterior-anterior view above and lateral view below demonstrates a marked increase in size of the chest cavity. Note the increased lucency due to the loss of lung parenchyma. There is prominence of the pulmonary arteries at the hila, indicative of pulmonary hypertension. |