Image 3.2
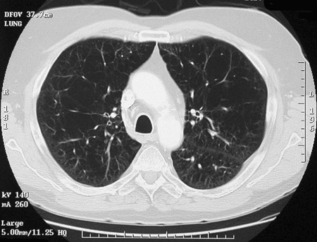
The CT scan of the chest seen here reveals an increase in lung markings with
lucencies
.