Image 2.5
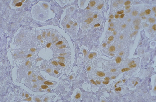
This is the microscopic appearance of the mass lesion with immunohistochemical staining for p53. Note that there is nuclear staining in the lesion.