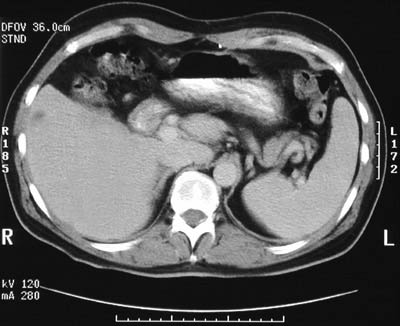
Image 2.6
An abdominal CT scan later in the course reveals a solitary lesion in the liver.