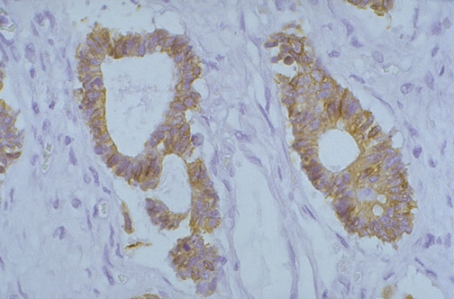
Image 2.4
This is the microscopic appearance of the mass lesion with immunohistochemical staining for CK-20, a form of cytokeration. Note that there is cytoplasmic staining in the lesion.