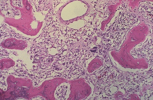
Image 8.3
The medium power microscopic appearance of the mass is shown here.