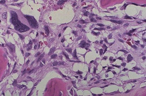
Image 8.4
The high power microscopic appearance of the mass is shown here.