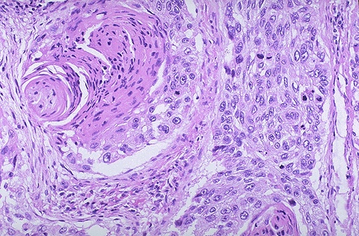
Image 7.4
The medium power microscopic appearance of the mass is shown here.