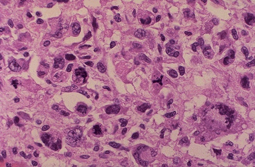
Image 7.5
The high power microscopic appearance of the mass is shown here.