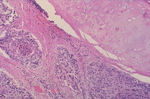
Image 7.3
The low power microscopic appearance of the mass is shown here.