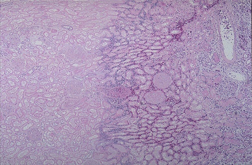
Image 3.3
The low power microscopic appearance of the renal lesion is shown here.