Image 3.4
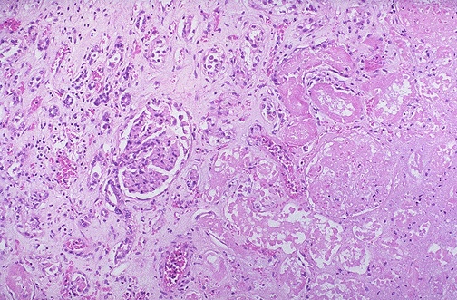
The medium power microscopic appearance of the renal lesion is shown here, with the lesion to the right.