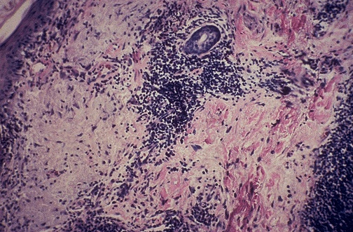
Image 1.2
The light microscopic findings (H&E stain) in affected skin are shown here. What kind of inflammation is present? [Image contributed by Elizabeth Hammond, MD, University of Utah]