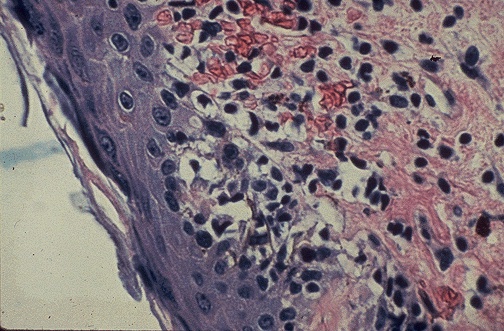
Image 1.3
This is a higher power view of the skin. Note the RBC's and liquefactive necrosis at the dermal-epidermal junction. [Image contributed by Elizabeth Hammond, MD, University of Utah]