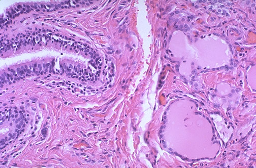
Image 6.3
Here is the microscopic appearance of the lesion. What tissues are present?.