Image 4.2
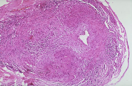
There is focal granulomatous inflammation of the media.