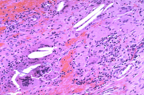
Image 1.3
Surrounding the cyst is an inflammatory reaction with
foreign body giant cells
and mononuclear cells. Hemorrhage and necrosis leads to formation of
cholesterol clefts
.