Image 4.2
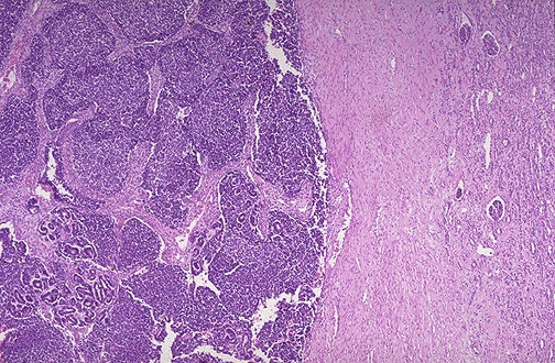
At low power microscopically, most of the neoplasm is composed of small round blue cells (this is one of the small round blue cell tumors of childhood).