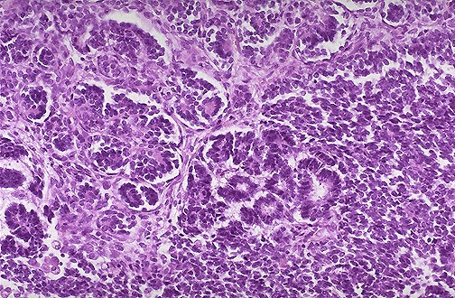
Image 4.3
At medium power microscopically in some areas, the tumor is attempting to form primitive tubules and glomeruli.