Image 2.3
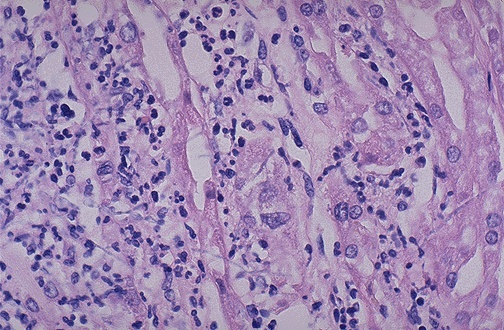
Leukocytes infiltrate the intersititum and tubules at medium power.