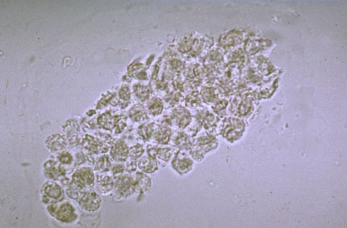
Image 2.4
The characteristic finding on urinalysis microscopic examination is shown here.