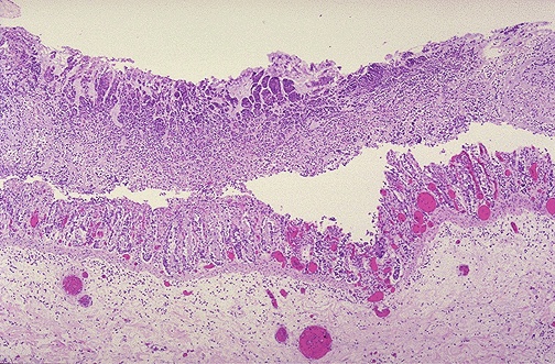
Image 3.3
At low power microscopically, the colon shows surface mucosal erosions with overlying
fibrinopurulent exudate
.