Image 3.4
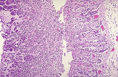
At high power microscopically, the colon shows surface mucosal erosions with overlying fibrinopurulent exudate.