Image 1.4
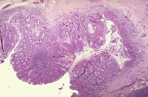
Microscopic examination shows diffuse mucosal ulceration, with several ulcers extending to the muscularis propria.