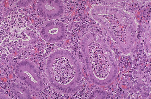
Image 1.5
At higher power, the intervening mucosa shows misshapen, distorted crypts with occasional
crypt abscesses
.