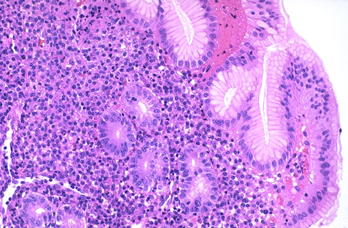
Image 8.2
The high power microscopic appearance of the gastric mucosa is seen here. The inflammatory cell infiltrates are composed of lymphocytes and plasma cells (occasionally, some neutrophils could be present as well).