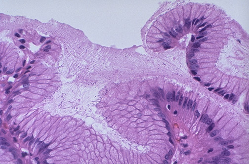
Image 8.3
There are small thin rod-like organisms present in the gastric mucus above the columnar cells seen here with H&E staining at high magnification.