Image 8.1
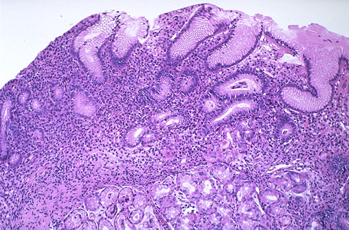
The low power microscopic appearance of the gastric mucosa is seen here. Note the chronic inflammatory cell infiltrates.