Image 2.5
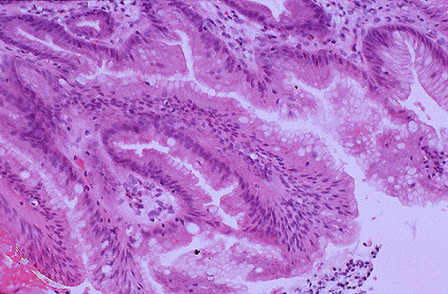
The predisposing lesion for the esophageal mass is seen here. What type of mucosa is this?