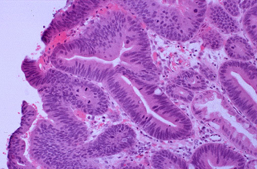
Image 2.6
Dysplasia is seen here. Note the stratification of the nuclei along with hyperchromatism.