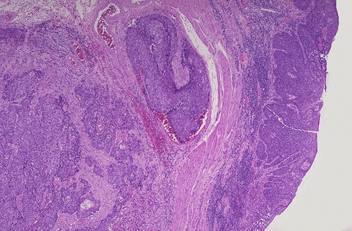
Image 1.3
The low power microscopic appearance of the mid-esophageal mass lesion is seen here.